background

Laboratory Services

Accurate and Reliable

What We Do?

Doctor Lab medical Laboratories has been providing related tests according to following catogories. We have continuously improved and gained the operational expertise to provide the best service possible, ensuring the best possible results for our patients. Our laboratories and services are actively engaged in developing and implementing internal pre and post-analytical designs that promote systemic accuracy. Our facilities undergo routine quality checks to ensure our results and services at the highest standard.

(Clinical biochemistry / Clinical pathology)

Chemical pathology (Clinical biochemistry/ clinical pathology) involves the biochemical examination of bodily fluids such as blood, urine and cerebrospinal fluid. By determining the manner in which the body’s chemical composition has changed, diseases can be aptly diagnosed and monitored. / The investigation, analysis and interpretation of results are handled by our esteemed team of clinical researchers, consultants and medical staff.



Haematology

Haematology is the study of disorders of blood and the blood forming organs, lymphomas and the lymphoreticular system. It is a speciality which includes the preventive, diagnostic and management aspects dealing with the aetiology, pathophysiology, investigation, diagnosis and management. Sometimes one consultant does all of above at other times a clinical Haematologist manages patients and a laboratory Haematologist diagnoses and advices other clinicians on management of the disorders.



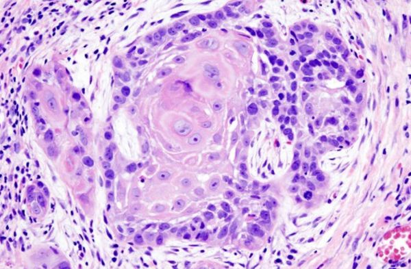
Histopathology

Histopathology (or histology) involves the examination of sampled whole tissues under the microscope. Histopathology tests are conducted by Doctorlab mainly to observe whether cancer cells are detected in a patient. Histopathologists are responsible for making tissue diagnoses and helping clinicians manage a patient's care.



Microbiology

Microbiology is the study of microscopic organisms, such as bacteria, viruses, archaea, fungi and protozoa. This discipline includes fundamental research on the biochemistry, physiology, cell biology, ecology, evolution and clinical aspects of microorganisms, including the host response to these agents.



Serology

Serologic tests are blood tests that look for antibodies in your blood. They can involve a number of laboratory techniques. Different types of serologic tests are used to diagnose various disease conditions.



Allergy & Immunology

Healthcare providers perform allergy tests to determine whether your immune system overreacts to certain substances (allergens). If you have an allergic reaction, it means you have an allergy.